兔是复制非酒精性脂肪肝常用的实验动物,主要原因是肝脏脂肪代谢对于刺激比较敏感。关于脂肪肝模型复制的方法,在“非酒精性脂肪肝模型建立方法”已经介绍。在“大鼠非酒精性脂肪肝、肝纤维化和肝硬化模型复制方法”的介绍中可以看到,当前可用于复制非酒精肝纤维化和肝硬化模型的方法很少,在一般实验小鼠中几乎无法实现,而在大鼠中也只有应用lipotrope缺乏饲料(方法见"大鼠非酒精性脂肪肝、肝纤维化和肝硬化模型复制方法")。
这里就兔中复制非酒精性的肝脏纤维化模型和肝硬化模型进行介绍。

Lipotrope缺乏饲料(lipotrope deficient diet)有标准热量型和高脂肪型Lipotrope缺乏饲料(务必点击超链接了解这些饲料的情况),都包括胆碱缺乏饲料,氨基酸配制的胆碱缺乏饲料(CDAA diet),蛋氨酸和胆碱缺乏饲料,高脂肪、低蛋白、胆碱缺乏饲料,以及胆碱、蛋氨酸、维生素B12、叶酸缺乏饲料。
在兔中用胆碱缺乏饲料复制肝硬化最早可以追溯到1940年的研究论文,并且在随后的20年中有几篇论文对这种肝硬化进行了研究。
例如,用胆碱缺乏饲料喂养兔(体重500g~1kg),很快发生脂肪肝,大约在45天左右已经有兔发生了肝硬化,66天后几乎都发生了肝硬化。这提示我们,用胆碱缺乏饲料复制肝纤维化模型,需要的时间大约在45天左右。
缺胆碱饲料喂养的兔中,肝脏脂肪含量大约是正常兔的3-4倍,肝脏外观为结节状肝硬化,结节大约1-5mm、浅黄色至红色,镜下可见正常结构消失,假小叶,结缔组织中胶原丰富并分隔假小叶。
在有的兔中可见腹水。胆碱缺乏兔的死亡率大约为10%。
要注意的是,肾脏病理异常。
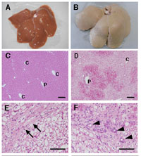
左列(A、C、E)为标准喂养的兔肝脏。在上世纪中期发现,用高胆固醇饲料喂养兔,可以发生肝纤维化和肝硬化,说明兔中建立肝纤维化和肝硬化模型比较容易。
兔喂养高脂高胆固醇饲料可以发生非酒精性脂肪肝,一般为期2个月。如果延长喂养时间,让肝脏病变得以进一步发展成肝纤维化和肝硬化,面临的问题是,兔容易死亡。因此,需要降低脂肪含量和胆固醇含量。
为避免容易死亡的问题,在最近的文献中,将高脂肪高胆固醇饲料中的脂肪和胆固醇含量和胆固醇含量均调低,这样喂养的兔约在8个月时肝纤维化已经很明显,并且已经有肝硬化表现,到9个月时几乎所有兔都发展成了肝硬化。
图中显示的是文献中的图片截图。肝脏灰白色,表面凹凸不平,有小结节,胶原纤维化增生并且主要围绕中央静脉区周围,在中央静脉和中央门静脉之间形成桥样纤维化(纤维间隔),肝细胞退变,肝细胞中脂肪和胆固醇大量沉积。
可见主动脉中发生动脉粥样硬化状改变。